Cabinet dentaire du Dr André KRIEF
Chirurgien-dentiste à Colombes
Cabinet dentaire du Dr André KRIEF
Chirurgien-dentiste à Colombes

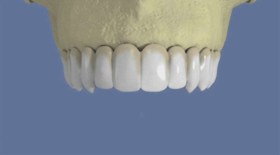
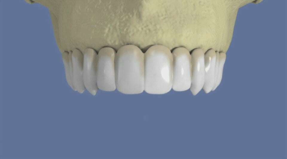
Maxillaire : bridge vissé sans fausse gencive


video-play-icon

Articles similaires

Derniers articles

Maxillaire : all-on-4

09 Déc 2025

Comblement de sinus par voie latérale et implantation simultanée

09 Déc 2025

Mandibule complète et traitement implantaire pour un bridge fixe vissé

09 Déc 2025

Catégories

Création par Webdentiste

Connexion